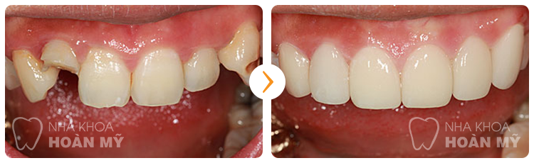
Răng sứ Veneer (hay còn gọi là Laminate sứ) được chọn lọc rộng rãi để che phủ bề mặt răng bị nứt vỡ, răng đổi màu… Làm răng Veneer sứ là cách phổ quát nhất cho việc thay màu răng, làm cho răng trắng sáng thiên nhiên.
Các trường hợp thích hợp làm răng veneer sứ như:
- Khi răng không đẹp
- Bề mặt lỗ chỗ
- Răng bị mẻ hoặc có hình dáng khác thường,…

- Có nên làm răng sứ
Những ưu điểm của phục hình răng sứ Veneer
- Phục hình răng sứ thẩm mỹ Veneer là giải pháp tối ưu nhằm mang lại một hàm răng chắc, khỏe, một nụ cười đẹp và bền lâu.
- Phục hình răng sứ veneer không cần phải mài răng nhiều như khi bọc răng sứ nên ít bị ê buốt.
- Cảm giác ăn, nhai hầu như không thay đổi so với trước khi làm răng veneer sứ. Do mặt trong của răng vẫn là răng thật.
- Sự phát triển của nguyên liệu nha khoa và kỹ thuật đắp sứ tầng lớp giúp cho răng sứ Veneer trông tự nhiên và thẩm mỹ hơn
- Không bị nhiễm màu. Răng Veneer sứ không bị nhiễm màu bởi caffe, trà, thuốc lá.
- Răng Veneer sứ chịu được tác động của các yếu tố sinh học, hóa học và cơ học trong môi trường miệng. Trong quá trình mài răng, lấy dấu, veneer sứ ít gây ảnh hưởng đến mô mềm.
- Làm răng sứ mất bao lâu
Tại Nha khoa Hoàn Mỹ, với đội ngũ y bác sĩ có tay nghề cao với nhiều năm kinh nghiệm trong ngành nha khoa thẩm mỹ, cùng với hệ thống trang thiết bị tiền tiến, đương đại Nha khoa Hoàn Mỹ cam kết mang đến cho khách hàng sự ưng ý về phục vụ cũng như sự an tâm tuyệt đối về chất lượng dịch vụ.
Comments[ 0 ]
Đăng nhận xét